Paso 1: Primera consulta con escaneo
Hacemos una evaluación inicial donde tomamos fotos, una radiografía y escaneamos tus dientes.

Con el respaldo de Dental Brackets, Alignia es la única marca de alineadores invisibles del mercado que no cobra controles mensuales durante tu tratamiento.
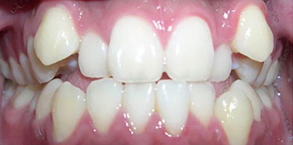
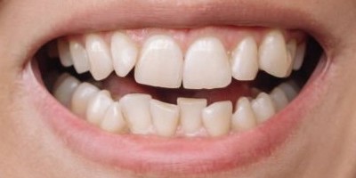
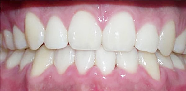
Son cómodos, removibles y prácticamente invisibles. La mayoría de las personas no va a notar que los estás usando. Y como podés sacártelos para comer y cepillarte, no tenés que cambiar tu dieta ni tu rutina diaria.
Lo único que van a ver es tu nueva sonrisa.
Alineadores invisibles. Resultados visibles.